Panorâmica

Por meio da incidência radiográfica panorâmica, observamos vários reparos anatômicos, segue abaixo, alguns deles:
Características radiográficas:
O - Cavidade orbotal: Área radiolúcida ampla, com contornos radiopacos esoessos, localizada no terço médio da face.
SM - Seio Maxilar: Apresenmtam-se como áreas radiolúcidas amplas, de contornos arredondados e bem definidos por uma linha radiopaca, correspndendo a cortical óssea que o delimita. Localizam-se acima dos ápices de pré-molares e do smolares.
________________________________________________________________________________________________
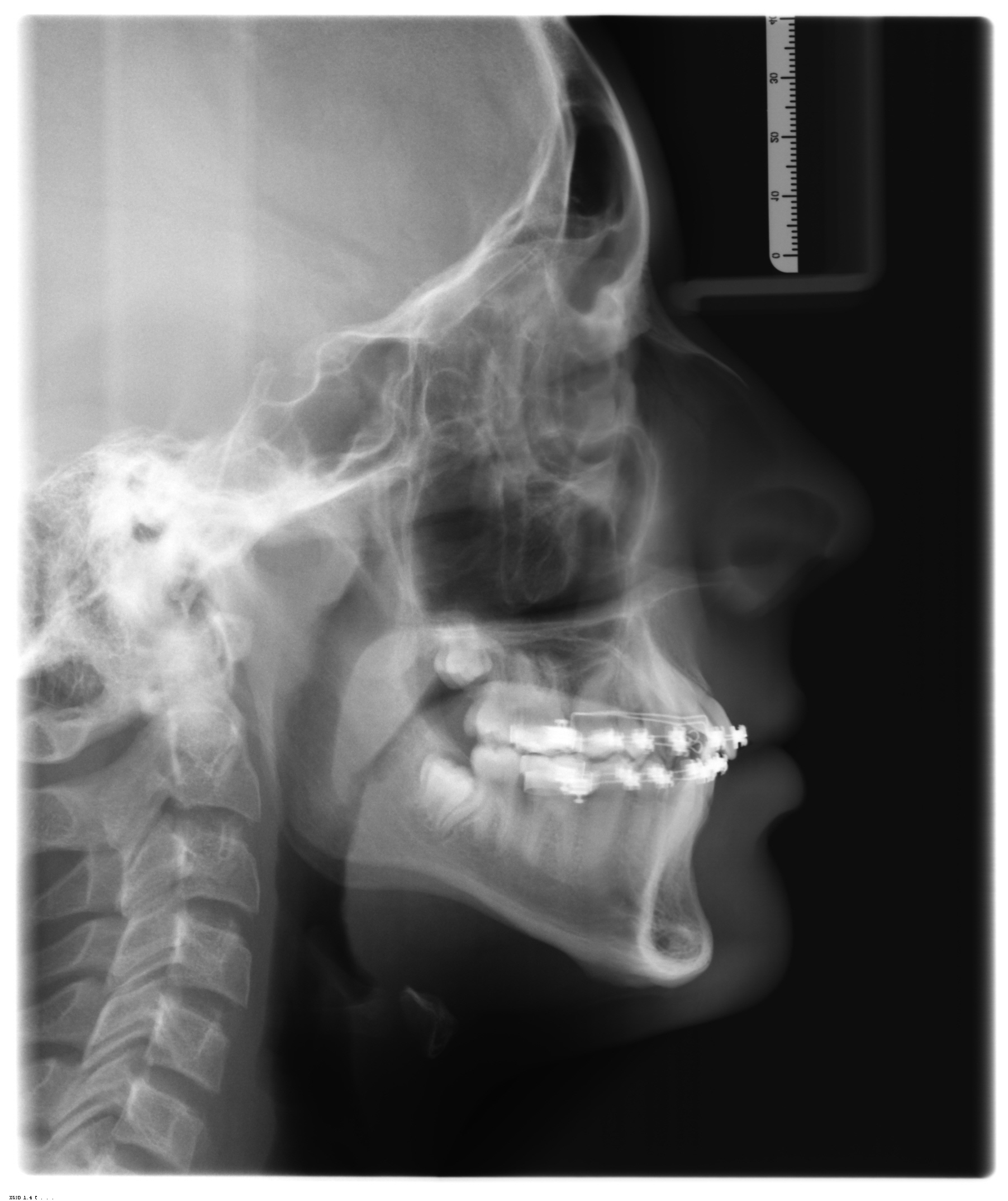
Telerradiografia

Indicação e Legenda de telerradiografia em norma Lateral
Principais indicações:
Observação do espaço naso-faríngeo, avaliação do padrão dento-esquelético facial, crescimento do crânio e face pela sobreposição de traçados e também planejamento do tratamento ortodôntico ou ortopédico.
________________________________________________________________________________________________
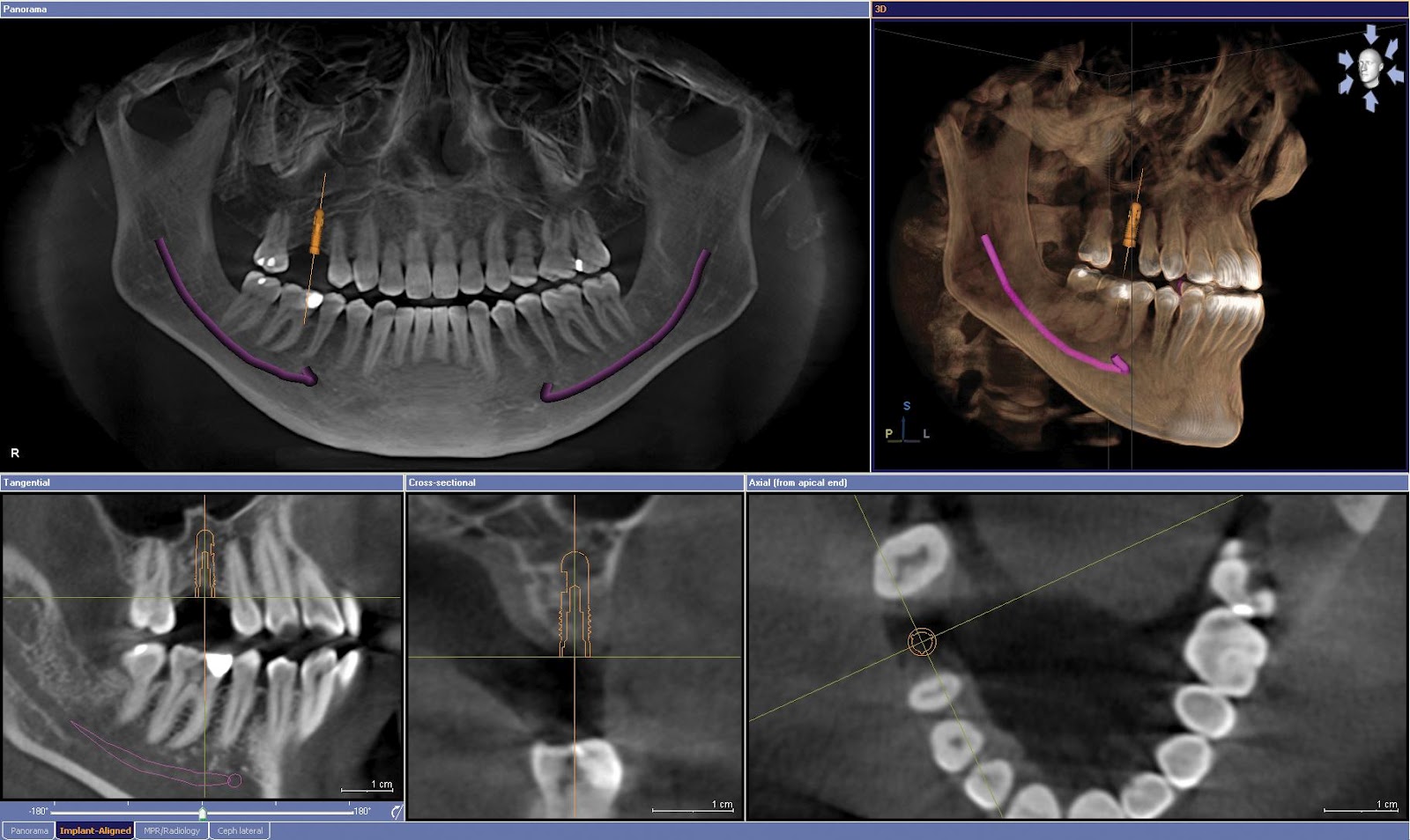
Tomografia Computadorizada Cone Bean
Z - Arco Zigomático: Apresentam-se como uma estrutura radiopaca que se estende posteriormente a partir do osso zigomático.
SN - Spto Nasal:Apresenta-se como uma estrutura radiopaca vertical e espessa. O septo nasal óssea divide a cavidade nasal em dois compartimentps, o direito e o esquerdo. O spto é formado por uma parte óssea composta pela lâmina perpendicular do osso etmóide e vômer.
PO - Palato ósseo: Apresenta-se como uma linha radiopaca horizontal estendendo-se por toda à maxila.
MAE - Meato acústico externo: Apresenta-se como uma área radiolúcida redonda ou ovóide anterior e superior ao processo mastóide.
PM - Processo mastóide do osso temporal: Aparece como uma imagem radiopaca arredondada, com áreas radiolúcida pequenas (células aéreas), localizada posterior e inferiorà região da ATM.
PE - Processo estilóide do osso temporal: Apresenta-se como uma estrutura radiopaca pintuaguda de formas e tamanhos variaods, que se estende a apartir do osso temporal anteriormente ao processo mastóide.
H - Osso hióide: Na radiografia panorâmica pode apresentar-se como uma estrutura radiopaca (às vezes sobreposta à sínfise da mandíbula), ou como duas imagens radiopacas, abaixo da mandíbula, bilateralmente.
________________________________________________________________________________________________
Legenda:
- Seio Frontal
- Osso Nasa
- Cavidade Orbital
- Processo Zigomático da Maxila
- Seio Maxilar
- Sela Turca
- Cabeça da Mandíbula
- Espinha Nasal Anterior
- Espinha Nasal Posterior
- Palato Mole
- Parte Nasal da Faringe
- Parte Oral da Faringe
- Laringo - faringe
- Sínfise da mandíbula
________________________________________________________________________________________________
O novo ORTHOPHOS XG 3D combina as vantagens do 2D e 3D em um só aparelho. Com uma extensa seleção de programa panorâmicos e cefalométricos, a imagem radiográfica em 2D é agora complementada com a capacidade de reconstruir as imagens em 3D. Motivos para sermos uma clínica dinâmica e atuante.